(Клинико-диагностические аспекты)
Институт Ветеринарной Биологии (Санкт-Петербург)
Каждый ветеринарный врач, владеющий методом ультразвуковой диагностики, ежедневно сталкивается с помехами и артефактами при проведении сонографии. Не редко данные понятия не разделяют и смешивают (1). Отождествление этих понятий может повлечь за собой некоторые диагностические ошибки. Кроме того, что следует дифференцировать помехи от артефактов, знание механизмов возникновения артефактов не редко дает врачу дополнительную информацию о состоянии тех или иных сканируемых структур(2) . Целью настоящего клинического исследования было выявление, систематизация и интерпретация наиболее часто встречающихся помех и артефактов возникающих при проведении УЗИ домашних животных.
МАТЕРИАЛЫ И МЕТОДЫ
Исследование выполнено на 150 собаках различных пород, возраста, пола и массы. Животные проходили плановое ультразвуковое обследование в клинике Института Ветеринарной Биологии, с целью уточнения первичного диагноза и контроля терапевтических мероприятий.
Работа выполнена на ультразвуковом сканере "Роскан" (НПП "Ратекс" ) с использованием механических секторных датчиков 5.0 и 7.5 Мгц
РЕЗУЛЬТАТЫ И ОБСУЖДЕНИЕ
Помехи - это искажение изображения, вызванные воздействием внешних причин на УЗИ-аппарат. Существует много разновидностей помех, из них мы выделили наиболее часто встречающиеся:
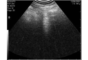
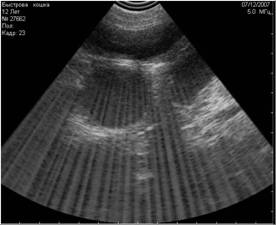
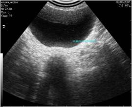
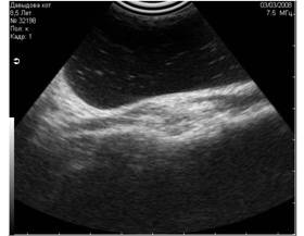
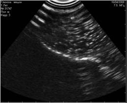
- сетевые - вызванные включёнием одновременно с УЗИ-аппаратом электрических приборов и сотовым телефоном (Рис.1; 2);
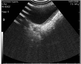
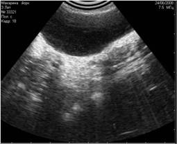
- вызванные плохим качеством выбривания кожи животного (Рис.3);
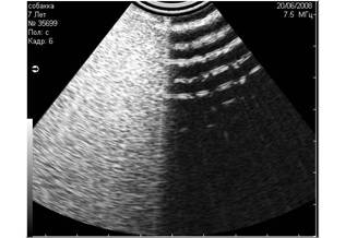
- вызванные недостаточным количеством УЗИ-геля, нанесённого на кожу (Рис.4) ;
- вызванные движениями животного, в том числе дыхательной экскурсией (Рис.5).
![]() | |
Рис1. Помехи, вызванные включённым рядом с аппаратом УЗИ сотовым телефоном. Во избежание этого лучше просить владельца выключать сотовый телефон при проведении ультразвукового исследования. |
Рис2. Помехи, вызванные работающими электроприборами, включёнными в сеть рядом с аппаратом УЗИ. |
Рис3. Помехи, вызванные плохим выбриванием животного (продольные полосы слева). |
Рис 4. Недостаточное количество геля при проведении УЗИ (правая половина снимка). |
Рис. 5. Помехи, вызванные дыхательными движениями животного. |
Рис. 6. Дистальное затухание. На снимке этот артефакт представлен тёмной полосой в дистальной части скана. Часто этот артефакт имитирует жидкостные структуры. |
Как представлено на фотографиях, помехи ухудшают качество изображения и не редко препятствуют тонкой и детальной визуализации исследуемой структуры. Соответственно помехи при проведении УЗИ следует сводить к минимуму.
Артефакт - это искажение изображения (появление несуществующих структур, отсутствие существующих, неправильное положение органа и т.п.), обусловленные физическими свойствами и явлениями ультразвукового луча проходящего через биологические объекты.
Артефакты могут приводить к некорректной интерпретации изображения, неправильной постановке диагноза, и, соответственно, к неадекватным назначениям врача. Однако знание механизмов их возникновения, правильная интерпретация, наблюдаемых артефактов не редко могут оказать неоценимую помощь врачу. Многие артефакты - это не досадные помехи, а верные союзники УЗИ-диагноста, несущие скрытую информацию. Наша цель - извлечь её и использовать во благо пациента.
Существует два принципиально различных вида артефактов: Аппаратурные и артефакты обусловленные физическими свойствами ультразвукового луча (4).
Аппаратурные артефакты- это искажения изображения, возникающие вследствие технического несовершенства ультразвукового прибора. Аппаратурные артефакты не несут диагностической информации и действительно мешают работе врача.
1. Мёртвая зона
Мёртвая зона - это часть изображения, прилегающая непосредственно к рабочей поверхности датчика, где практически невозможно выделить эхо-сигналы (4) . Наличие этого артефакта обусловлено конструктивными особенностями датчика и в большей или меньшей степени имеет место при любых датчиках.
2. Дистальное затухание
При сканировании глубоко расположенных структур, получение качественного изображения затрудняется. Это связано с тем, что на глубоко расположенные структуры у ультразвукового луча остаётся мало энергии(4).
3. Боковые лепестки
Алгоритм построения изображения предполагает существование одного луча. В действительности эхо-сигналы принимаются не только от одного луча, называемого основным лепестком, но и от дополнительных сигналов, создаваемых так называемыми боковыми лепестками. В силу относительно низкого энергетического уровня боковых лепестков по сравнению с основным лепестком, эхосигналы их малы и в целом не сказываются на качестве изображения. Однако, если в направлении бокового лепестка находится хорошо отражающая поверхность, эхо-сигналы от неё могут иметь большую амплитуду и воспринимаются как полезные сигналы. Наибольший энергетический потенциал имеют боковые лепестки, расположенные вблизи основного, поэтому сформированные ими ложные изображения находятся вблизи от истинного изображения и на той же глубине(4).
Рис. 7. Боковые лепестки |
Основной способ выявления и устранения артефакта боковых лепестков - изменение положения датчика. При этом ложные изображения ослабляются относительно более стабильного реального изображения.
В приборах высокого класса, артефакт боковых лепестков не наблюдается.
Артефакты, обусловленные физикой ультразвукового луча.
Эта группа артефактов может предоставлять ценную диагностическую информацию и оказывать неоценимую помощь в постановке правильного диагноза.
1. Эхоакустическая тень.
Эхоакустическая тень - это отсутствие изображения за объектом вследствие затухания ультразвуковых волн (4;5). Для того чтобы выяснить источник тени, нужно проследить, откуда она берёт своё начало.
Существует две разновидности теней в зависимости от их природы.
Первая разновидность тени - истинная тень- область пониженной эхогенности, возникающая за объектами с высокой отражающей способностью напр.: кость, коллаген (1;5).
Артефакт истинной эхоакустической тени помогает в следующих случаях:
1. Диагностика очагов минерализации.
Например, при дифференциации конкрементов и новообразований в различных органах присутствие эхоакустической тени является ультразвуковым маркёром конкремента.
Знание сроков минерализации скелетных структур у плодов, помогает в определении сроков беременности животного. О степени минерализации плодов мы можем судить по наличию или отсутствию эхоакустических теней, испускаемых скелетными структурами.
2. Дифференциальная диагностика фиброзных изменений тканей. Например, этот артефакт имеет место при таких диффузных поражениях печени, как фиброз и цирроз.
При фиброзных изменениях печени, в отличие от других гепатозов, стенки сосудов и желчные ходы изменяются настолько, что начинают испускать эхоакустические тени.
Опасности, скрытые в неправильной интерпретации этого артефакта:
1. При чрезмерной компрессии датчиком прямая кишка изменяет анатомические контуры мочевого пузыря и в поперечном сечении может имитировать конкремент.
2. Прямая кишка, заполненная плотными каловыми массами, в продольном сечении может имитировать асцит.
3. Плотная тень от почечной лоханки может сливаться с тенью от конкремента и скрывать её.
![]() |
![]() |
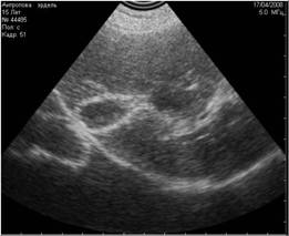
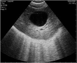
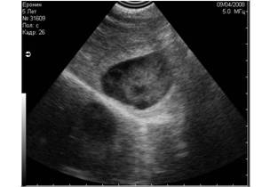
Рис. 8. На снимке представлен гиперэхогенный объект в полости мочевого пузыря, испускающий эхоакустическую тень. На основании этого артефакта, мы можем предположить, что этот объект является конкрементом. |
Рис. 9. На снимке представлен похожий по величине и эхогенности объект в полости мочевого пузыря, не испускающий эхоакустической тени. На основании этого признака, мы можем предположить, что изучаемый объект является новообразованием. |
![]() |
![]() |
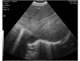
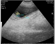
Рис. 9. Истинные эхоакустические тени, возникающие позади конкрементов в мочевом пузыре. |
Рис. 10. А вот и сами камни. |
![]() |
![]() |
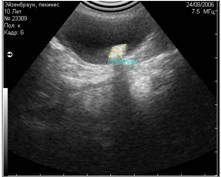
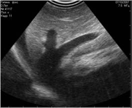
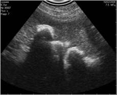
Рис. 11. Истинные тени, испускаемые скелетными структурами плода шелти на 36 день беременности. Первичными очагами минерализации являются череп и таз плода. На этом снимке мы видим две тени, испускаемые этими структурами. |
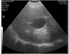
Рис. 12. Истинные эхоакустические тени, испускаемые уплотнёнными стенками сосудов при гепатозе (фиброзе). |
![]() |
![]() |
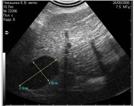
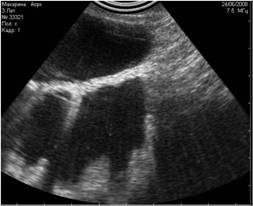
Рис.13. Истинная тень, испускаемая каловыми массами в кишечнике. В данном случае имитирует асцит. |
Рис. 14. УЗИ предыдущего животного. Изменение угла наклона датчика помогает избежать ошибки. |
![]() |
![]() |
Рис. 14. Режущие тени от кривизны капсулы почки. |
Рис. 15. Режущие тени от кривизны стенок желчного пузыря. Эти тени подчёркивают другой артефакт - артефакт периферического усиления. |
![]() |
![]() |
Рис. 16. На этой фотографии представлено два вида теней. Тень от лоханки является истинной тенью. Тень от кривизны капсулы поверхности является режущей. |
Рис. 17. На этом рисунке изображено три объекта. Объект А испускает истинную эхоакустическую тень, расположенную под объектом. Объект Б тень не испускает. Тени, исходящие от объекта В, являются режущими и направлены по касательной к его поверхности. |
Второй разновидностью этого артефакта является артефакт «режущих теней» (5). Природа этого явления иная. При отражении звуковых волн от плотных изогнутых поверхностей, ультразвуковые лучи пересекаются и частично гасят друг друга. Таким образом, причиной появления артефакта «режущих теней» являются такие физические явления, как интерференция и рефракция. Особенностью режущих теней является тот факт, что они расположены по касательной к кривой поверхности, в отличие от истинных теней расположенных строго под объектом.
Знание этого артефакта поможет избежать ложного заключения об очаге минерализации или склеротизации.
2. Эхоакустическое псевдоусиление
Этот артефакт возникает позади структур, слабо поглощающих ультразвук, т.е. позади содержащих жидкость объектов (мочевой пузырь, желчный пузырь, кисты и пр.). В некотором смысле он противоположен артефакту теней (1;4;5).
Знание этого феномена помогает в подтверждении жидкостной природы сканируемого объекта. Классическим примером является нормальное эхоакустическое псевдоусиление, появляющееся в паренхиме печени позади желчного пузыря. Эхоакустическое псевдоусиление имеет решающее значение при дифференциальной диагностике кист от новообразований с низкой эхогенностью.
![]() |
|
Рис. 18. Артефакт периферического эхоакустического усиления . Звуковая волна слева практически не ослабляется, проходя через наполненный жидкостью пузырь, поэтому область позади него остаётся яркой. Звуковая волна справа, проходящая через паренхиму, ослабляется и затухает. |
Рис. 19. Артефакт периферического усиления, возникший позади желчного пузыря. |
3. Реверберация - это многократное возвращение эхо-волны на трансдуктор, которое на экране выглядит как множество белых линий, параллельных исследуемой поверхности (1;5). Очень сильная реверберация называется «хвост кометы».
Этот артефакт наблюдается на границе мягких тканей или жидкостей с газом, и знание его помогает в обнаружении газовых структур. В норме реверберация имеет место при сканировании любых структур, содержащих газ - лёгкие, кишечник, желудок. Именно из-за этого артефакта ультразвуковая диагностика лёгких невозможна, а УЗИ желудка и кишечника требует особенной тщательной подготовки.
Обнаружение же газа там, где его в норме не должно быть, является ультразвуковым маркёром серьёзной патологии.
Особенное значение имеет обнаружение этого артефакта для диагностики таких острых состояний, как пневмоперитонеум и эмфизематозные изменения органов.
Эмфизематозные изменения тканей имеют место при инфицировании их анаэробной микрофлорой, продуцирующей газ. Как правило, эти состояния протекают очень остро, и их своевременная идентификация во многом определяет успех лечения.
Вот примеры таких состояний:
- эмфизематозный цистит;
- эмфизематозный простатит;
- эмфизема плода при беременности;
- эмфизематозный холецистит;
- эмфизематозное абсцедирование любых органов.
При пневмоперитонеуме артефакт реверберации проявляется как яркие лучи, идущие из-под диафрагмы при трансабдоминальном сканировании в дорсальном лежачем положении животного. Причиной пневмоперитонеума (3;5) могут быть:
- ятрогенные воздействия (газ персистирует в брюшной полости около недели после проведённого обширного хирургического вмешательства);
- проникающие ранения брюшной полости;
- перфорация желудочно-кишечного тракта;
- засасывание воздуха из грудной клетки при патологиях грудной полости.
Необходимо помнить о том, что артефакт реверберации говорит только о наличии пневмоперитонеума, а не о его источнике.
![]() |
![]() |
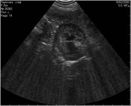
Рис. 20. Артефакт реверберации. Яркие гиперэхогенные точки - это пузырьки газа. Гипоэхогенные полосы под ними - это реверберация. |
Рис. 21. Артефакт реверберации от газа в желудке. |
![]() |
![]() |
Рис. 22. Артефакт реверберации. В этом случае артефакт создаётся воздухом в поддиафрагмальном пространстве и является ультразвуковым маркёром пневмоперитонеума. На этом снимке присутствует и второй артефакт - периферическое усиление позади жидкостных структур. |
Рис. 23. Артефакт «зеркального отражения». Сплошной линией представлен луч, отражённый от желчного пузыря и создающий на экране истинное изображение. Пунктиром показан луч, отражённый от диафрагмы в желчный пузырь и тем же путём вернувшийся обратно. Этот луч формирует на экране изображение ложного желчного пузыря. |
![]() |
![]() |
Рис. 24. Артефакт зеркального отражения желчного пузыря от диафрагмы. Этот артефакт в норме встречается практически у всех пациентов. |
Рис. 25. Артефакт зеркального отражения воспаленного желчного пузыря от диафрагмы. |
![]() |
![]() |
Рис. 26. Артефакт зеркального отражения мочевого пузыря от брюшины при перитоните. |
Рис. 27. Рефракция в этом случае имитирует прерывание целостности диафрагмы. |
4. Зеркальное отражение
Этот артефакт, возникает на границе двух сред (поверхность диафрагма - лёгкие и поверхность перикард - лёгкие). Механизм этого явления заключается в том, что на границе раздела сред часть луча проходит через неё, а часть - отражается. Отраженные лучи возвращаются на трансдуктор и формируют ложное изображение(1;5).
Примером артефакта зеркального отражение в норме является появление ложного изображения паренхимы печени и второго желчного пузыря за пределами диафрагмы. Такое изображение важно трактовать не как нарушение целостности диафрагмы и не как «двойную» печень.
Артефакт зеркального отражения может быть ультразвуковым маркёром патологий, при которых существенно повышается плотность мягких тканей, например, местного или генерализованного «сухого» перитонита.
5. Рефракция.
С детства мы знакомы с примером рефракции - карандаш в стакане с водой оптически преломляется. Подобное явление мы можем наблюдать и при прохождении ультразвуковым лучом неоднородных биологических структур - различные объекты могут изменять свою форму и «преломляться» (4).
Чаще всего этот артефакт нам приходится наблюдать при прохождении ультразвукового луча через диафрагму. При этом можно сделать ошибочное заключение о нарушении целостности диафрагмы.
Устранить этот артефакт мы можем, изменив положение датчика и угол сканирования. При перпендикулярном положении датчика к границе раздела двух сред, искажение становится минимальным.
В слоистых тканях артефакт рефракции может привести к расфокусировке луча, что, в свою очередь приводит к ухудшению поперечной разрешающей способности, и в конечном счёте, к потере качества изображения.
6. Артефакт псевдослизи.
Этот артефакт очень часто встречается в мочевом, реже - в желчном пузыре. Он имитирует присутствие слизи или осадка в них.
Причиной этого артефакта является искажение изображения за счёт толщины реального трёхмерного луча (5). Толщиной реального луча называется его размер в плоскости, проходящей через фокус луча перпендикулярно плоскости сканирования.
Между псевдослизью и истинной слизью имеются существенные различия. Поверхность псевдослизи является обычно вогнутой, в то время как поверхность настоящей слизи, как правило, горизонтально-плоская или имеет фистончатый край. Кроме того, изменение угла наклона датчика обычно помогает устранить этот артефакт.
![]() | ![]() |
Рис. 28. Артефакт псевдослизи в мочевом пузыре. Диагноз поставлен ошибочно. Гипоэхогенная полоса, окаймляющая дорсальную стенку мочевого пузыря, имеет вогнутую поверхность и является артефактом псевдослизи. Широкая эхоакустическая тень под мочевым пузырём в центральной части снимка исходит от кишечника, расположенного ниже мочевого пузыря, а не от «осадка» в мочевом пузыре. |
Рис. 29. Спектл-шум, имитирующий мелкодисперсную взвесь в мочевом пузыре. |
7. Спектл-шум
Этот специфический артефакт, обусловленный высокочастотным характером ультразвуковых сигналов (4), наблюдается на каждом акустическом изображении. Излучаемый датчиком сигнал распространяется вглубь и сохраняет постоянные фазовые соотношения в каждый момент времени в отдельных точках сечения. Это свойство постоянства фаз называется пространственной когерентностью ультразвукового луча. При покачивании или перемещении датчика появляется характерная картинка переливающихся пятен, мешающая адекватной интерпретации изображения. Спектл-шум может имитировать осадок в жидкостных структурах.
Таким образом, наиболее информативными артефактами являются те из них, которые обусловлены физикой ультразвукового луча. Наибольшую диагностическую ценность представляют артефакт истинной эхоакустической тени, артефакт зеркального отражения, артефакт эхоакустического псевдоусиления и артефакт реверберации. Знание этих артефактов поможет врачу поставить правильный диагноз и оказать своевременную и адекватную помощь пациенту.
СПИСОК ИСПОЛЬЗОВАННОЙ ЛИТЕРАТУРЫ
1. Барр Ф. Ультразвуковая диагностика собак и кошек. М.: «Аквариум», 2006. – 206с.
2. Бушарова Е.В. Основы ультразвуковой диагностики мелких домашних животных/ Под ред.: Чуваева И.В. - СПб; НОУДО "Институт Ветеринарной Биологии" , 2008. - 100 с.3. О. Дж. Ма, Дж. Р. Матиэр. Ультразвуковое исследование в неотложной медицине. М.: «Бином. Лаборатория знаний», 2007г – 389с.
4. Осипов Л.В. Ультразвуковые диагностические приборы. Практическое руководство для пользователей. М: ВИДАР, 1999. – 234с.
5. Thrall. Textbook of veterinary diagnostic radiology. - Printed in the United States of America, 2007. – 832с.