Cardiologist's Workstation

Cardiologist's Workstation SonoFly-3000 unit for ultrasonic diagnostics allows to get qualitative images of heart, its four chambers, valves in motion in the real time mode. Convenience and functionality of M and B+M modes, calculation of the main cardiac indexes are the additional reasons to choose SonoFly-3000 as a workstation for a cardiologist.

The ultrasonic examination of the heart (echocardiography) estimates the peculiarities of heat and vessels structure, chambers dimensions, its contractive function, position and diameter of vessels. It diagnosticates heart faults, failure of myocardium contraction with ischemic heart disease, myocardium hypertrophy, failure of diastolic function with arterial hypertonia, pathology of myocardium and heart membranes. The M-scanning mode is of peculiar value during cardiography. This scanning goes by one narrowly directed US-beam. SonoFly-3000 unit for ultrasonic diagnostics allows cardiography in the following modes: B, B+B, B+M and M.

The table below presents the probes recommended for heart ultrasound:

Photo Type/Code Frequency, MHz Radius, mm Visual Zone/Angle, mm Imaging Format Application
UT-C3.5R20/64 3.5 20 90 Convex Transabdominal, Cardiology
2-4/30ED 2.0...4.0 30 80 Convex Transabdominal, Cardiology

The abilities of SonoFly-3000 US unit are not restricted by the real-time imagining only.

The patient to be examined is registered in the card file at first:

If the information about a patient was included to the card file earlier, you can find it with the help of convenient search function.
Then, prior to the examination start, you should choose the program preset in SonoFly-3000 hard & software complex (in this case it is cardiology):

The choice of the program prior to scanning helps to narrow down rather vast list of measurements and calculations, preset in the system, leaving only those used in cardiology.

SonoFly-3000 US unit offers a set of automatic calculations which help to interpret the images observed.

Examination Measurements used Calculations provided
Cardiology Final systolic size of left ventricle
inal diastolic size of left ventricle.
Frequency of cardiac contractions.
Patient's height.
Patient's weightà.
Final systolic volume of left ventricle.
Final diastolic volume of left ventricle.
Stroke output.
Fraction of let.
Minute volume.
Cardiac index.

In a scan mode the control is realized with mainly with the help of trackball.
A modern US unit is known to have a number of settings, the condition of which finally defines image quality.
The change from one examination type to other demands the change in settings which sometimes is very important.

SonoFly-3000 US unit allows application of both factory and user's SETTINGS SCHEMES. Thus, the choice of the whole complex of settings for gynecology is of no difficulty:

SETTINGS SCHEMES

During scanning you can save up to 10 US images for one session. The markers plotted on an image, the measurements results and the necessary official information will be also saved on the image.

The conclusion (examination report) is formed by SonoFly-3000 US unit after scanning session is completed. The examination report is a text document, where the following information is automatically included :

  • The name of the medical (diagnostic) establishment.
  • Information about the patient (name, sex, age, etc.).
  • The date of examination.
  • The results of measurements and calculations.
  • The pattern of the conclusion text containing standard phrases.

To include the results of measurements and calculations to the formed report you should introduce them to the special memory of SonoFly-3000 US unit during scanning. The succession of operations is shown on the pictures below:

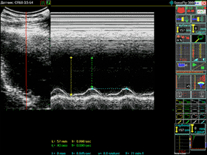
1. Measuring.

Measuring

2. Fixation of measurement results in the report.

Fixation of measurement results

3. Observation of calculation result.

Observation of calculation result

All operations are realized with the help of trackball, take minimum time and do not need typing numbers or some text. Such approach reduces the amount of mistakes while introducing the information, allows to reduce the time of an examination and preparation of a report.

The Examination Report, formed by the program, may seem approximately like this:

Medical Establishment N

US Examination Report.

Petrov, Anatoly
Male. Age: 32. Height: 178 sm. Weight: 85 kg.

Examination Date : 12.05.2004 13:39

Data, obtained during examination:

Final diastolic size of left ventricle= 57 mm
Final systolic size of left ventricle = 43 mm
Frequency of cardiac contractions = 71.0 min-1

Final diastolic volume of LV = 163.2 ml
Final systolic volume of LV = 86.5 ml
Stroke output = 76.7 ml
Fraction of let = 47.0 %
Minute volume = 5.450 l/min
Cardiac index = 2.683

Calcification of the base of the back door of the mitral valve.
The contration capacity of myocardium is reduced.
The zones of an asynergia are not detected.
The lower hollow vein is not changed.
Abdominal aorta is not changed.
No liquid revealed in pleural cavities.
No liquid revealed in pericardium cavity.

CONCLUSION:
Mitral ring calcification, expressed moderately.

Doctor Padalko R. /_________________/